میکروب شناسی

تقسیم بندی بر اساس شکل

مجتبی نیا | يكشنبه, ۶ مهر ۱۳۹۳، ۱۲:۰۰ ب.ظ

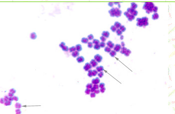
کوکسی: شکل یک باکتری کوکسی شکل معمولادایره شکل است بعضی اوقات تخم مرغی یا درا ز و تقریبا نیم میکرومتر قطر دارند  و براساس ماندگاری بعد از تقسیم وهمانند سازی تقسیم می شوند 


تقسیم در یک سطح همانند دیبلوکوکوس



استرپتوکوکوس : کوکسی رشته ای


تقسیم دردوسطح

تتراد 4 کوکسی

تقسیم در سه سطح تولید سارسینا (8کوکسی)

تقسیم به صورت تصادفی تولید استافیلوکوک (خوشه انگوری)


باسیل

باسیلوس : باسیل ساده


استربتو باسیلوس : باسیل رشته ای

اسپیریل: به یک تا سه فرم دیده میشود


ویبریو : یک اسبریل ناکامل یا کاما شکل


اسپریلیوم 

اسپریل سفت ونازک  :


اسپیروکیت: اسپریل نازک وپیجیده 


  • مجتبی نیا

نظرات  (۰)

هیچ نظری هنوز ثبت نشده است

ارسال نظر

ارسال نظر آزاد است، اما اگر قبلا در بیان ثبت نام کرده اید می توانید ابتدا وارد شوید.
شما میتوانید از این تگهای html استفاده کنید:
<b> یا <strong>، <em> یا <i>، <u>، <strike> یا <s>، <sup>، <sub>، <blockquote>، <code>، <pre>، <hr>، <br>، <p>، <a href="" title="">، <span style="">، <div align="">
تجدید کد امنیتی